Call: 505-219-4548
Smile Gallery
Top Dentists in Albuquerque, NM
Finding excellent cosmetic dentistry in Albuquerque, NM just got a little bit easier. Check out our smile gallery to see some of the actual smile transformations we have completed in our office! We would love to help you transform your look into something you can feel proud of.
You might benefit from one of the following cosmetic options:
When you’re ready to see how we can improve your smile, give us a call at 505.219.4548. Until then, take a look at these patient success stories.

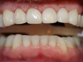
Before

After

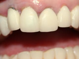
Before

After

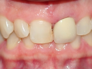
Before

After

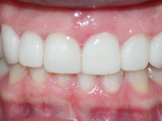
Before

After

Before

After

Before

After

Before

After

Before

After

Before

After

Before

After

Before

After


